When considering breast augmentation, selecting the right type of implants involves several decisions. At Pacific Sound Plastic Surgery, we offer a variety of options to ensure your results align with your desires and anatomical considerations.
Continue readingBreast Implant Associated Illness
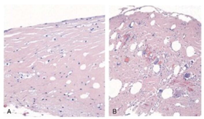
WHAT IS BREAST IMPLANT ILLNESS (BII)?
(The photo above is of a breast implant capsule without (A) and with (B) ruptured silicone contents. Wee C, et al. Understanding Breast Implant Illness, Before and After Explantation: A Patient Reported Outcomes Study. Ann Plast Surg 2020;85:S82-S86.)
Breast Implant Illness (BII) is a label given to a wide range of symptoms that a patient can experience after receiving aesthetic or reconstructive breast implants. It is also sometimes called “ASIA,” for: Autoimmune/Inflammatory Syndrome Induced by Adjuvants. I don’t know about you, but each time I see something given one acronym, let alone many, I try to stop and pay attention. Breast implants are either made of silicone or saline, but even saline implants have a silicone shell. In the vast majority of patients, silicone is a relatively inert substance, meaning that it doesn’t cause any harm after breast augmentation or reconstruction. However, sometimes an array of vague or what are called “constitutional” symptoms occur, which are best explained so far by the inflammatory response theory. This theory suggests that an over-active inflammatory response to the silicone in a breast implant could account for an array of symptoms (below), auto-immune or connective tissue disorders. It is important to remember that there remains controversy as to what really makes up BII, but suffice to say that if you experienced the majority of a confusing group of symptoms after breast augmentation, then it is worth talking to a plastic surgeon about whether this could be caused by your implants.
Some of the symptoms and conditions reported as related to BII are:
- Joint and muscle pain
- Chronic fatigue
- Memory and concentration problems
- Breathing problems
- Sleep disturbance
- Rashes and skin problems
- Dry mouth and dry eyes
- Anxiety
- Depression
- Headaches
- Hair loss
- Gastrointestinal problems
- Alopecia
- Raynaud syndrome
- Lupus
- Rheumatoid arthritis
- Scleroderma
If you suspect that you may be affected by a combination of the above related to your breast implants, don’t hesitate to reach out to seek a free consultation. The keys to treatment of any condition that is caused by an offending agent is usually to remove that agent, and BII is no exception. BII is treated by removal of not only the implant but also the surrounding implant capsule, which is usually the site of interaction between the body and silicone. Keep in mind that this procedure requires surgery in an operating room and you should expect some recovery time. You may also experience deflated breast mounds that you will want to have rejuvenated with a lift procedure, or mastopexy. After removal of the implants, the majority of patients diagnosed correctly with BII experience recovery of their symptoms.
If you would like to learn more about BII, reach out to Kristopher M. Day, MD, FACS by emailing Info@PacificSoundPlasticSurgery.com to schedule a complementary consultation. Dr. Day has specialized training in breast surgery and extensive knowledge about BII. He would be happy talk to you more about this condition or other plastic surgery procedures.
Dual Plane Breast Augmentation
WHAT IS A “DUAL PLANE” BREAST AUGMENTATION?
A breast augmentation is a procedure performed to increase the size of the breasts, but not all breast augmentations are the same. Breast augmentation can be accomplished by inserting implants made out of either silicone or saline through an incision, which is most commonly placed in the fold under the breast, or inframammary fold. But what about how an implant is surgically inserted? You may have heard of the difference between a sub-mammary and a sub-muscular breast implants, but maybe were not aware that there is an approach that combines some of the advantages of each without as much of the drawback of either called “dual plane” augmentation. Dual plane augmentation mammoplasty is a modification of the procedure that involves dissecting between the breast tissue and pectoralis muscle layer (sub-mammary augmentation) as well as between the pectoralis muscle and the chest wall (sub-muscular augmentation). The reason this is advantageous is that it causes the fan-shaped pectoralis muscle to slide up and “window-shade” off of the lower portion of the breast implant. The effect this has is similar to the way blinds that are partially open allow light in the lower portion of a window but not the upper; likewise, the lower pole of the breast has more implant prominence than the upper, making for a more natural curvature of the breast mound. This has a similar effect as a shaped implant without using an actual shaped implant. It also allows for protection from capsular contracture, or an “over-scarring phenomenon” of the lining around the breast implant, while still providing precise placement and defined projection. A dual plane breast enlargement should not only make the breasts larger, but also create a natural and tailored result that allows for a discrete recovery while still experiencing maximal results.
If you are considering a dual plane breast augmentation, then feel free to inquire if you are a candidate. Some things you can expect from a dual plane breast augmentation are:
- Fuller lower half of the breast with less noticeable upper breast implant prominence
- Less risk of issues associated with either under-the-muscle or under-the-breast tissue augmentation mammoplasty
- Less risk of an implant placed too high
- A more natural breast contour that fills out more in the lower half in the manner that most non-augmented breasts are shaped
If you are interested in a breast augmentation, remember that this procedure requires surgery in an operating room and you should expect some recovery time. Breast tissue is also routinely screened for cancer with a mammogram, ultrasound, or other imaging study, which is important to complete prior to performing surgery on the breast. An augmentation mammoplasty is performed by plastic and reconstructive surgeons and produces a small scar on or around the breast. In good candidates, a breast augmentation can be performed as an outpatient in an ambulatory surgical center. For patients with gials like those above, a dual plane breast augmentation is a great way to achieve a natural-appearing fuller chest.
If you would like to learn more about a breast augmentation, reach out to Kristopher M. Day, MD, FACS by emailing Info@PacificSoundPlasticSurgery.com to schedule a complementary consultation. Dr. Day has extensive experience in breast augmentation and enjoys exploring the options with patients in order to customize their best outcome!
Breast Augmentation
WHAT IS A BREAST AUGMENTATION?
A breast augmentation, or augmentation mammoplasty (or what some call a “boob job”), is a surgical procedure intended to increase breast size. This is usually achieved by inserting implants that are made out of either silicone or saline through an incision most commonly in the fold under the breast. There are also less common approaches that use a patient’s own fat from other parts of their body, or a combination of fat and implants. Augmentation mammoplasty is sometimes combined with a breast lift if there is a significant amount of sagging of the breast prior to augmentation, either at the same time (augmentation-mastopexy) or during a separate surgery.
An augmentation mammoplasty should not only make the breasts larger, but if the surgery is well-planned and executed, then it can also improve breast contour, symmetry, and fullness, thereby resulting in an overall better-appearing chest. Size selection is ultimately each patient’s choice, and it is common for some to want a more natural result while others seek a more noticeable change. Breast augmentation can also overcome naturally-occurring anatomic imperfections that occur in some women, such as constricted or asymmetric breasts. Some things you can expect from a breast augmentation are:
- Fuller, larger breasts
- Increased definition of the upper breast
- Tightened appearance of the breast tissue
- Increased symmetry of breasts that significantly differ in size or shape
- More youthful appearance of the chest
- Increased self-confidence
If you are interested in a breast augmentation, remember that this procedure requires surgery in an operating room and you should expect some recovery time. Breast tissue is also routinely screened for cancer with a mammogram, ultrasound, or other imaging study, which is important to complete prior to performing surgery on the breast. An augmentation mammoplasty is performed by plastic and reconstructive surgeons and produces a scar on or around the breast. In good candidates, a breast augmentation can be performed as an outpatient in an ambulatory surgical center, though recovery time is proportional to the complexity of the procedure. Patients who undergo a breast augmentation are usually thrilled they decided to act on their desire for a fuller chest.
If you would like to learn more about a breast augmentation, reach out to Kristopher M. Day, MD, FACS by emailing Info@KrisDayPlasticSurgery.com to schedule a complementary consultation. Dr. Day has extensive experience in breast augmentation and loves designing an individualized surgical plan to meet each patient’s goals!
The No Touch Technique
WHAT IS A KELLER FUNNEL AND THE “NO-TOUCH TECHNIQUE” IN BREAST AUGMENTATION?
Breast augmentation is usually accomplished with an implant, which is either made out of silicone or saline. Implants can be supported by the body’s own tissue, but it is important that no bacteria are introduced at the time of placement. This is to ensure both that infection does not occur acutely, but also that an “over-scarring” phenomenon, known as capsular contracture, does not happen later. There are a number of things a surgeon can do to prevent both of these from happening, including the use of antibacterial fluid washes of the surgical site and injection of antibiotics during surgery, as well as the use of a device called the Keller funnel to facilitate the “no-touch” technique. The Keller funnel is a device that was developed by a plastic surgeon to minimize the amount of contact that the hands of the surgeon and surgical technician have with a breast implant. When used correctly, this device can prevent any contact with an implant from its sterile package to placement within the chest. It was originally modelled after a cake pipetting tool but has undergone a number of revisions to its current state of highly regulated and studied use and approval by the FDA. It’s use involves taking a breast implant from its sterile packaging and essentially pouring it directly into the Keller Funnel, which is kept sterile as well. Then the implant is literally funneled into the chest in the sterile cavity that was previously dissected. The implant is thus taken from a sterile package to a sterile surgical site with a sterile transfer device, thus preventing contamination entirely. The use of a Keller funnel is one of the many elements of quality that I employ to give my patients the best outcome that they can experience. This, in addition to using a betadine-containing wash solution and the utmost sterile technique, allows me to have peace of mind along with my patients that their outcome is going to be achieved as safely and reliably as possible. So be sure to reach out to info@krisdayplasticsurgery.com to learn more about what we can offer to help achieve your plastic surgery goals as safely as possible using additional quality measures like the “no-touch” technique. I look forward to speaking with you for your free consultation.




